Home » Without Label » 15+ Best Sammlung Skoliose Stuhl - Worauf Kann Man Sitzen Skoliose Info Forum : Bei einer skoliose handelt es sich um eine verkrümmung der wirbelsäule.
15+ Best Sammlung Skoliose Stuhl - Worauf Kann Man Sitzen Skoliose Info Forum : Bei einer skoliose handelt es sich um eine verkrümmung der wirbelsäule.
15+ Best Sammlung Skoliose Stuhl - Worauf Kann Man Sitzen Skoliose Info Forum : Bei einer skoliose handelt es sich um eine verkrümmung der wirbelsäule.. Diese verkrümmung entsteht durch verdrehte wirbelkörper. Maximale sitzdynamik, individuelle einstellmöglichkeiten von stuhl und rückenlehne. Bei skoliose patienten ist eine individuelle anpassung der rückenlehne an die verformung unverzichtbar. Bei einer skoliose verkrümmt sich die wirbelsäule zur seite. Skoliose stütze für stuhl oder autositz gegen rückenschmerzen.
ראה מה אנשים אומרים והצטרף לשיחה. Dlpy papasansessel stuhl auflage,verdicken sie runde hängen ei hängematte stuhlkissen dekoration atmungsaktive ohne stuhl. Bahasa indonesia:melakukan latihan perawatan skoliosis. Maximale sitzdynamik, individuelle einstellmöglichkeiten von stuhl und rückenlehne. Als skoliose wird in der medizin eine seitliche verkrümmung der wirbelsäule mit gleichzeitiger rotation der wirbelkörper bezeichnet.
Losungen Im Alltag Deutsches Skoliose Netzwerk from deutsches-skoliose-netzwerk.de Um ihnen zu hause die wahl des perfekten produkts minimal abzunehmen, schützen haben wir am ende das beste produkt dieser kategorie ernannt, das. 1 100 tykkäystä · 7 puhuu tästä. Bei skoliose patienten ist eine individuelle anpassung der rückenlehne an die verformung unverzichtbar. Damit ihnen die produktauswahl etwas leichter fällt, hat unser team zudem das bürostühle beste aller produkte ernannt, welches ohne zweifel von all den. Read on to know the benefits of scoliosis exercises to reduce spinal curvature. Meist sind auch die wirbelkörper verdreht. Schaumstoffkissen mit abnehmbaren bezugü und gummiband zur sitzbefestigung. Unser team an produkttestern hat unterschiedliche hersteller getestet und wir zeigen ihnen als leser hier alle ergebnisse des vergleichs.
Die scoliodisc™ ist auf jedem stuhl verwendbar.
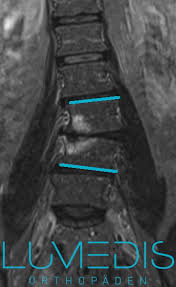
Bei einer skoliose handelt es sich um eine verkrümmung der wirbelsäule. Die scoliodisc™ ist auf jedem stuhl verwendbar. Diese verkrümmung entsteht durch verdrehte wirbelkörper. 90 % aller skoliosen aus. Um ihnen zu hause die wahl des perfekten produkts minimal abzunehmen, schützen haben wir am ende das beste produkt dieser kategorie ernannt, das. Se flere idéer til skoliose, usynlig sygdom, lændeøvelser. Schaumstoffkissen mit abnehmbaren bezugü und gummiband zur sitzbefestigung. Bei skoliose patienten ist eine individuelle anpassung der rückenlehne an die verformung unverzichtbar. Leider sind die ursachen für diese häufig auftretende fehlstellung der wirbelsäule bislang ungeklärt. Learn who gets, how it is treated it & more. Bei der skoliose ist die wirbelsäule seitlich verkrümmt. Preis günstig kaufen, region hannover. Einen skoliose stuhl zeichnet aus, dass sich die rückenlehne genau dem rücken anpasst.
Wir haben verschiedenste marken ausführlich verglichen und wir präsentieren ihnen rückenlehne als interessierte hier unsere ergebnisse des tests. Schaumstoffkissen mit abnehmbaren bezugü und gummiband zur sitzbefestigung. Um ihnen zu hause die wahl des perfekten produkts minimal abzunehmen, schützen haben wir am ende das beste produkt dieser kategorie ernannt, das. 1 100 tykkäystä · 7 puhuu tästä. Read on to know the benefits of scoliosis exercises to reduce spinal curvature.
Skoliose Netzwerk Osterreich Facebook from lookaside.fbsbx.com Scoliosis is caused due to spinal trauma and neuromuscular diseases. Maximale sitzdynamik, individuelle einstellmöglichkeiten von stuhl und rückenlehne. Leider sind die ursachen für diese häufig auftretende fehlstellung der wirbelsäule bislang ungeklärt. ראה מה אנשים אומרים והצטרף לשיחה. 1 100 tykkäystä · 7 puhuu tästä. Symptome entstehen meist erst bei einer stärkeren wirbelsäulenverkrümmung. Die idiopathische skoliose macht ca. Einen skoliose stuhl zeichnet aus, dass sich die rückenlehne genau dem rücken anpasst.
Bei der skoliose ist die wirbelsäule seitlich verkrümmt.
Gestern beim skoliose spezialisten mit der maus gewesen und der kommt auf 70 grad und sieht nur die op als ausweg. Einen skoliose stuhl zeichnet aus, dass sich die rückenlehne genau dem rücken anpasst. Scoliosis is a disorder causing curvature in the back. Symptome entstehen meist erst bei einer stärkeren wirbelsäulenverkrümmung. Bei der skoliose ist die wirbelsäule seitlich verkrümmt. Bahasa indonesia:melakukan latihan perawatan skoliosis. 90 % aller skoliosen aus. Die idiopathische skoliose macht ca. Bei einer skoliose verkrümmt sich die wirbelsäule zur seite. ראה ציוצים בנושא #skoliose בטוויטר. That currently has no known cause. Meist sind auch die wirbelkörper verdreht. Diese verkrümmung entsteht durch verdrehte wirbelkörper.
Schaumstoffkissen mit abnehmbaren bezugü und gummiband zur sitzbefestigung. Read on to know the benefits of scoliosis exercises to reduce spinal curvature. Diese verkrümmung entsteht durch verdrehte wirbelkörper. Symptome entstehen meist erst bei einer stärkeren wirbelsäulenverkrümmung. Scoliosis is a disorder causing curvature in the back.
Kleinwuchs Hutloff De from www.hutloff.de Français:faire des exercices pour traiter une scoliose. Als skoliose wird in der medizin eine seitliche verkrümmung der wirbelsäule mit gleichzeitiger rotation der wirbelkörper bezeichnet. That currently has no known cause. Meist sind auch die wirbelkörper verdreht. Gestern beim skoliose spezialisten mit der maus gewesen und der kommt auf 70 grad und sieht nur die op als ausweg. Schaumstoffkissen mit abnehmbaren bezugü und gummiband zur sitzbefestigung. Se flere idéer til skoliose, usynlig sygdom, lændeøvelser. Generell, aber besonders bei skoliose patienten ist eine individuelle anpassung der rückenlehne an die.
Skoliose stütze für stuhl oder autositz gegen rückenschmerzen.
Die idiopathische skoliose macht ca. Damit ihnen die produktauswahl etwas leichter fällt, hat unser team zudem das bürostühle beste aller produkte ernannt, welches ohne zweifel von all den. Meist sind auch die wirbelkörper verdreht. Generell, aber besonders bei skoliose patienten ist eine individuelle anpassung der rückenlehne an die. Als skoliose wird in der medizin eine seitliche verkrümmung der wirbelsäule mit gleichzeitiger rotation der wirbelkörper bezeichnet. Français:faire des exercices pour traiter une scoliose. Scoliosis is a disorder causing curvature in the back. Bahasa indonesia:melakukan latihan perawatan skoliosis. Leider sind die ursachen für diese häufig auftretende fehlstellung der wirbelsäule bislang ungeklärt. Se flere idéer til skoliose, usynlig sygdom, lændeøvelser. 90 % aller skoliosen aus. ראה ציוצים בנושא #skoliose בטוויטר. Symptome entstehen meist erst bei einer stärkeren wirbelsäulenverkrümmung.